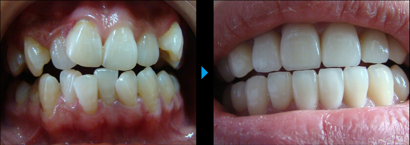
牙齿拥挤怎么办?
牙列拥挤是错合畸形中的常见者,可表现为牙齿拥挤错位排列不齐,牙齿拥挤不仅对患者容貌造成影响,还对身体造成一定的伤害,严重者可造成口唇闭合困难,形成开唇露齿。很多人对牙齿拥挤不知所措。下面我们先来听听萌牙客口腔医生的详细解答。【如不想看文,可点此与医生一对一交流】
我们先来了解牙齿拥挤有哪些危害呢?
1、【易患牙病】在进行口腔清洁的过程中,十分不容易刷干净,牙垢常堆积在牙缝中,使牙齿容易发生龋齿,牙龈很容易发炎。
2、【影响牙齿清洁】牙齿拥挤减弱牙齿的自洁作用。尤其是食用过食物后会残留食物残渣,牙齿更容易形成软垢、茵斑和牙石,继而给牙齿带来一系列的伤病。
3、【咀嚼功能】牙齿拥挤影响上下颌牙齿之间的咬合关系,进而影响正常的咀嚼功能,降低咀嚼效率,可能因此而引起消化不良和胃肠功能的紊乱。
4、【牙齿过早脱落】牙齿在咀嚼中受力不均。长期的受力过大,过度疲劳,牙齿、牙周都会不堪重负,最终造成牙齿的过早脱落。
那么,牙齿拥挤该怎么办呢?
1、轻度的牙齿拥挤,常表现上下切牙的扭转错位或尖牙轻度唇向错位,一般采用牙套正畸矫正的方法。
2、中度牙齿和重度拥挤的矫治来说,采用减数拔牙配合矫正器治疗。因为成年人的生长发育已经完成,代谢速率变慢,生物反应性降低,所以采用正畸矫正成人牙齿拥挤会比儿童所花时间更长一些。
3、牙齿拥挤亦可以采用美容冠进行正畸。美容冠矫正牙齿拥挤要比戴牙套的方法时间短,但是这种方法只适合于轻中度牙齿拥挤的矫正,而且在年龄限制方面,也有要求,只适合成人。
如果您看完以上“牙齿拥挤怎么办?”的内容,还有任何疑问,都可以点击“在线咨询”,医生会一对一为您解答。【直拨0512-82100618即刻解答】




